Implantes Dentales en Pacientes con Poco Hueso
En Clínica Falcó, situada en el prestigioso barrio de Sarrià, Barcelona, somos conscientes de los desafíos que enfrentan los pacientes con poco hueso al considerar…
Leer artículoCausas comunes del fracaso de los Implantes Dentales
Los implantes dentales son una solución efectiva y duradera para reemplazar dientes perdidos. Sin embargo, como cualquier procedimiento médico, no siempre son exitosos. En Clínica…
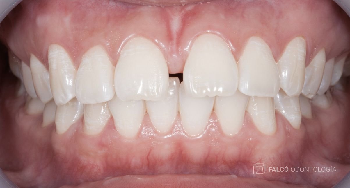
Leer artículoCarillas Dentales para cerrar diastemas
En Falcó Odontología, entendemos que una sonrisa perfecta es más que un lujo; es una necesidad que puede mejorar la confianza y la calidad de…
Leer artículoSolicita asesoramiento de nuestros expertos.
Completa el formulario de contacto a continuación y pida una cita informativa o solicita información sobre nuestros tratamientos.

Somos una clínica dental familiar con más de cuatro generaciones cuidando sonrisas en Barcelona.
Diseño web & SEO by DOCMEDIA Marketing Dental



